Understanding Your Wisdom Teeth Options in Scottsdale
Wisdom teeth Scottsdale residents need to understand a few key facts: about 85% of third molars will eventually need removal, and acting early—typically in your late teens or early 20s—can prevent serious complications down the road.
Quick Answer: What You Need to Know
- What are they? Your third molars, the last teeth to erupt, usually appearing between ages 17-25
- Why remove them? Most mouths lack space, leading to impaction, infection, decay, or damage to nearby teeth
- When to remove? Ideally before age 25, when roots aren’t fully formed and healing is faster
- What to expect? A surgical procedure under local anesthesia or sedation, with 3-5 days initial recovery
- Scottsdale options: Board-certified oral surgeons, advanced imaging (CBCT scans), sedation options, and flexible payment plans
Wisdom teeth removal can feel overwhelming, especially if you’ve had negative dental experiences in the past. The good news? Modern techniques, compassionate care, and proper planning make this common procedure far more comfortable than you might expect.
The reality is simple: your jaw has likely evolved to be smaller than your ancestors’, but your wisdom teeth haven’t gotten the message. When these third molars try to emerge without enough room, they can become impacted—stuck beneath the gum or growing at odd angles. This creates a perfect environment for infection, decay, and damage to your other healthy teeth.
Waiting too long brings real risks. As you age, your jawbone becomes denser and tooth roots grow longer and thicker. This makes extraction more complex and increases the chance of complications like nerve damage. That’s why dentists often recommend proactive removal during your late teens or early twenties.
As Dr. Janne Lynch, DDS, I’ve helped countless Scottsdale patients steer wisdom teeth Scottsdale removal with compassion and expertise, drawing on my training in both cosmetic dentistry and oral surgery. I understand the anxiety that comes with dental procedures, and I’m committed to making your experience as comfortable and stress-free as possible.

Why Wisdom Teeth Often Need to Be Removed
Wisdom teeth, also known as third molars, are the last set of teeth to emerge in your mouth. They typically make their grand entrance between the ages of 17 and 25, a time often associated with gaining “wisdom”—hence the name! However, in many cases, their arrival isn’t met with cheers, but rather with problems.
The primary reason these late bloomers often need to be removed stems from an evolutionary mismatch. Over millennia, human jaws have gradually become smaller, adapting to softer diets and changes in facial structure. Unfortunately, our wisdom teeth didn’t get the memo. This often means there simply isn’t enough room in our mouths for these four extra molars to erupt properly.
When there isn’t adequate space, wisdom teeth can become “impacted.” This means they’re stuck beneath the gum line, trapped against other teeth, or trying to grow in at awkward angles. The American Association of Oral and Maxillofacial Surgeons estimates that about 85% of third molars will eventually need to be removed, highlighting just how common this issue is.
Proactive removal is often recommended over waiting until problems arise. Why? Because the risks of delaying extraction can be significant. As we age, the roots of wisdom teeth continue to grow and thicken, and our jawbones become denser and less pliable. This makes the extraction process more complex, increasing the chances of complications like nerve damage or prolonged recovery. Removing them earlier, when the roots are less developed and the bone is softer, can simplify the procedure and lead to faster, smoother healing.
Common Signs Indicating a Need for Wisdom Teeth Removal in Scottsdale
It’s not always obvious when your wisdom teeth are causing trouble, but your body usually sends out signals. If you’re experiencing any of the following symptoms in Scottsdale, it’s a good idea to schedule an evaluation with us. These signs suggest that your wisdom teeth might be impacted or causing other dental issues that require attention:

- Jaw Pain: This is perhaps the most common indicator. Persistent pain or discomfort at the back of your mouth, especially near the jaw hinge, can be a sign that your wisdom teeth are pushing against other teeth or bone.
- Gum Swelling and Redness: When wisdom teeth partially erupt, they can create a flap of gum tissue (an operculum) that easily traps food particles and bacteria. This can lead to inflammation, redness, and swelling, a condition known as pericoronitis.
- Persistent Bad Breath: Accumulated food and bacteria under gum flaps or in hard-to-reach areas around problematic wisdom teeth can lead to chronic bad breath, even with regular brushing.
- Difficulty Opening Mouth: Swelling and inflammation around an erupting or impacted wisdom tooth can cause stiffness and pain, making it hard to fully open your mouth or chew comfortably.
- Headaches: Referred pain from impacted wisdom teeth can manifest as tension headaches or discomfort radiating from your jaw to your temples.
- Shifting Teeth: While not universally accepted by all dental professionals, some believe that erupting wisdom teeth can exert pressure on adjacent teeth, potentially causing them to shift, become crooked, or lead to overcrowding.
- Cysts or Tumors: In rare but serious cases, fluid-filled sacs (cysts) or even tumors can form around an impacted wisdom tooth. These can damage the jawbone and surrounding teeth if left untreated.
If you notice any of these symptoms, don’t hesitate to reach out. We can assess your situation and recommend the best course of action.
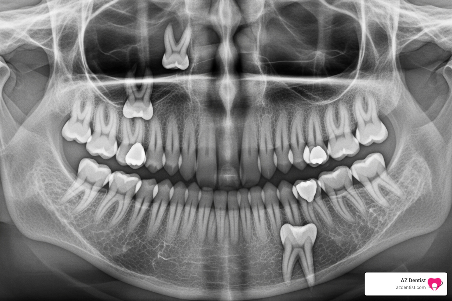
Impacted vs. Erupted Wisdom Teeth: What’s the Difference?
Understanding the difference between erupted and impacted wisdom teeth is crucial, as it directly influences the removal process and potential complications.
- Erupted Wisdom Teeth: These are wisdom teeth that have successfully broken through the gum line and are fully visible in your mouth, much like your other molars. While they’ve erupted, they can still cause problems if they grow in crooked, are difficult to clean, or contribute to overcrowding. Removal of fully erupted wisdom teeth is often a simpler procedure, sometimes taking only a couple of minutes per tooth.
- Impacted Wisdom Teeth: This is where things get a bit more complex. An impacted wisdom tooth is one that doesn’t have enough room to fully emerge or grows in an abnormal position. There are several types of impaction:
- Soft Tissue Impaction: The top of the tooth has broken through the bone, but the gum tissue still covers part of it, making it difficult to clean and prone to infection.
- Partial Bony Impaction: Part of the tooth remains encased in the jawbone, with only a portion breaking through the gum. This also creates a breeding ground for bacteria and can lead to decay.
- Complete Bony Impaction: The entire tooth is completely covered by jawbone and gum tissue, unable to erupt at all. These can still cause issues like cysts or damage to adjacent teeth.
- Angled Growth: Impacted wisdom teeth can grow at various angles—horizontally, vertically, mesioangular (angled forward), or distoangular (angled backward)—each presenting unique challenges during removal.

The presence and type of impaction significantly affect the removal process. Impacted teeth often require a more involved surgical procedure, including making an incision in the gum tissue, and sometimes removing a small amount of bone or sectioning the tooth into smaller pieces for easier extraction. This is why an oral surgeon or a dentist with specialized training often handles these cases, ensuring a safe and efficient procedure.
The Wisdom Teeth Removal Procedure Explained
The thought of surgery can be daunting, but we want to assure you that the wisdom teeth Scottsdale removal procedure is a routine and well-managed process in our care. Here’s what you can typically expect:
- Initial Consultation and Examination: Your journey begins with a thorough evaluation. We’ll discuss your medical history, any symptoms you’re experiencing, and address all your questions and concerns.
- X-rays and 3D Imaging: To get a clear picture of your wisdom teeth, their position, and their relationship to surrounding structures like nerves and sinuses, we’ll take advanced images. This often includes panoramic X-rays and a Cone Beam Computed Tomography (CBCT) 3D scan. This detailed imaging allows us to plan your surgery with precision and minimize risks.
- Surgical Planning: Based on the imaging and examination, we’ll develop a personalized treatment plan. This includes discussing the type of anesthesia that’s right for you and outlining the steps of the procedure.
- The Procedure: On the day of your appointment, we’ll ensure you’re comfortable and relaxed. After administering anesthesia, the oral surgeon or experienced dentist will begin the extraction.
- Access: An incision is made in the gum tissue to expose the wisdom tooth and the surrounding bone.
- Bone Removal (if necessary): If the tooth is impacted within the bone, a small amount of bone may need to be carefully removed to create access.
- Sectioning the Tooth (if necessary): For severely impacted or large teeth, the tooth might be divided into smaller pieces. This allows for easier, less traumatic removal, minimizing the impact on your jawbone.
- Extraction: The tooth (or pieces of it) is then gently removed.
- Cleaning and Suturing: The surgical site is thoroughly cleaned to remove any debris or bone fragments. Stitches (sutures), which may be dissolvable, are then placed to help the gum tissue heal and protect the area.
The duration of the procedure can vary. Extraction of fully erupted wisdom teeth might take just a couple of minutes per tooth. For impacted wisdom teeth, an expert oral surgeon may spend 10 to 20 minutes per tooth. The entire process for all four wisdom teeth, including preparation and recovery from anesthesia, can take up to 90 minutes.
The Role of Anesthesia and Sedation
Ensuring your comfort and minimizing anxiety is a top priority for us during wisdom teeth Scottsdale removal. We offer a range of anesthesia and sedation options, carefully chosen to match your individual needs and the complexity of your procedure.
- Local Anesthesia: This is the most common form of anesthesia. We’ll numb the area around the wisdom tooth with an injection, similar to what you’d receive for a filling. You’ll be awake during the procedure but won’t feel any pain, only pressure.
- Sedation Dentistry: For patients who feel anxious or want a more relaxed experience, we offer various levels of sedation:
- Nitrous Oxide (Laughing Gas): Inhaled through a mask, nitrous oxide helps you relax and reduces discomfort. Its effects wear off quickly after the mask is removed.
- Oral Sedation: You’ll take a prescribed pill before your appointment to help you feel calm and drowsy. You’ll remain conscious but deeply relaxed, often with little memory of the procedure.
- IV Sedation (Intravenous Sedation): Administered directly into a vein, IV sedation provides a deeper level of relaxation. You’ll be conscious but in a twilight state, feeling very comfortable and typically having no recollection of the extraction. Certified registered nurse anesthetists are often present for procedures involving IV sedation to ensure your safety and comfort.
- General Anesthesia: In some complex cases or for patients with extreme anxiety, general anesthesia may be recommended. This puts you into a state of unconsciousness, meaning you’ll be completely asleep during the procedure.
Our team will discuss these options with you during your consultation, helping you choose the best approach to ensure a stress-free and comfortable experience.
Navigating Recovery and Aftercare
Once your wisdom teeth Scottsdale removal is complete, the focus shifts to a smooth and comfortable recovery. We’ll provide you with detailed post-operative instructions, but here’s a general overview of what to expect:
- Initial 24-48 Hours: This is the most critical period for healing. You can expect some swelling and bruising, which is a normal part of the healing process. We recommend resting and avoiding strenuous activities.
- Swelling and Bruising: Swelling usually peaks 2-3 days after surgery and then gradually subsides. Applying ice packs to your cheeks intermittently for the first 24-48 hours can significantly help reduce swelling and discomfort.
- Pain Management: Some discomfort is normal as the anesthesia wears off. We’ll discuss pain management options, which may include prescription medication for more intense pain or over-the-counter pain relievers like ibuprofen. It’s important to take medication as directed to stay ahead of the pain.
- Rest and Recovery Timeline: While individual recovery times vary, most patients can return to their normal routine within three to five days. Complete healing of the surgical sites can take one to two weeks. Listening to your body and getting plenty of rest is key to a swift recovery.
Post-Op Diet and Hygiene
Taking care of your mouth after wisdom teeth removal is crucial for preventing complications and promoting healing.
- Recommended Soft Foods: For the first few days, a soft diet is essential. Think gentle, easy-to-chew foods that won’t irritate the surgical sites.
- Yogurt
- Smoothies (without a straw!)
- Soups (lukewarm, not hot)
- Mashed potatoes
- Scrambled eggs
- Pudding
- Applesauce
- Soft pasta
- Cottage cheese
- Foods to Avoid: Steer clear of anything hard, crunchy, sticky, or chewy that could dislodge the blood clot or get stuck in the extraction sites. This includes nuts, popcorn, chips, gum, and tough meats. Also, avoid extremely hot or spicy foods.
- Gentle Rinsing: We’ll instruct you on how and when to gently rinse your mouth, often with salt water, to keep the area clean. Avoid vigorous rinsing, as this can dislodge the blood clot.
- Avoiding Straws: This is very important! The sucking motion created by using a straw can dislodge the protective blood clot from the extraction site, leading to a painful condition called dry socket.
- Keeping the Surgical Site Clean: Gentle brushing, as directed by our team, and careful rinsing will help prevent infection.
Potential Risks and Complications
While wisdom teeth Scottsdale removal is a common and safe procedure, it’s important to be aware of potential risks and complications, though they are rare. We take every precaution to minimize these:
- Dry Socket (Alveolar Osteitis): This occurs when the blood clot that forms in the empty tooth socket gets dislodged or dissolves prematurely, exposing the underlying bone and nerves. It can be quite painful but is treatable. Avoiding straws and tobacco products is crucial for prevention.
- Infection: Although we maintain a sterile environment, any surgical site carries a small risk of infection. We may prescribe antibiotics as a preventative measure, and diligent post-operative hygiene is vital.
- Nerve Damage: In rare cases, the sensory nerve located in the jaw (inferior alveolar nerve) can be bruised or damaged during extraction, leading to temporary or, very rarely, permanent numbness or tingling in the lip, chin, or tongue. Our advanced 3D imaging helps us precisely map the nerve’s location to minimize this risk.
- Bleeding: Some light bleeding or oozing is normal for the first 24-48 hours. We’ll provide instructions on how to manage this with gauze. Persistent heavy bleeding should be reported to us immediately.
Following our post-operative instructions diligently is your best defense against these complications. If you experience unusual pain, swelling, fever, or any other concerning symptoms, don’t hesitate to call us.
Preparing for Your Wisdom Teeth Scottsdale Appointment
A little preparation goes a long way in ensuring a smooth and stress-free wisdom teeth Scottsdale removal experience. Here’s how you can get ready for your appointment:
- Pre-operative Instructions: We will provide you with specific instructions custom to your procedure and anesthesia type. This might include fasting (avoiding food and drink) for several hours before surgery, especially if you’re receiving sedation or general anesthesia.
- Arranging Transportation: If you’re receiving any form of sedation beyond local anesthesia, you will not be able to drive yourself home. Please arrange for a trusted friend or family member to pick you up after your appointment and stay with you for a few hours.
- Medical History Discussion: Be prepared to discuss your complete medical history, including any current medications, allergies, or health conditions. This helps us ensure your safety and tailor the procedure to your needs.
- Planning for Time Off: Plan to take at least 3-5 days off from work or school for rest and recovery. If your job involves strenuous activity, you might need a bit longer.
- Stocking Your Pantry: Before your surgery, stock up on the soft foods we recommended for your post-op diet. Having them readily available will make your recovery much easier.
Understanding the Costs and Financing Options
The cost of wisdom teeth Scottsdale removal can vary depending on several factors. We believe in transparency and will discuss all costs with you upfront during your consultation.
- Cost Factors:
- Number of Teeth: The more teeth removed, the higher the cost.
- Type of Impaction: Fully erupted teeth are generally less expensive to remove than impacted ones, especially those requiring bone removal or sectioning.
- Anesthesia Level: Local anesthesia is typically included, but IV sedation or general anesthesia will add to the overall cost.
- X-rays and Imaging: Advanced imaging like CBCT scans are often necessary for precise planning.
- Dental Insurance Coverage: Many dental insurance plans cover a portion of wisdom teeth removal, especially if it’s deemed medically necessary to prevent future problems. We work with most PPO and HMO plans and can help you understand your benefits and potential copays.
- Flexible Payment and Financing Options: We understand that even with insurance, the out-of-pocket costs can be a concern. That’s why we offer various flexible payment solutions and financing options to make your treatment affordable. We partner with reputable third-party financing providers like CareCredit and Proceed Finance, which offer interest-free payment plans for qualifying patients. You can explore options at CareCredit or Proceed Finance. Our team can help you steer these options.
Frequently Asked Questions about Wisdom Teeth Removal
We know you likely have many questions about wisdom teeth Scottsdale removal. Here are answers to some of the most common ones we hear:
How long does the wisdom teeth removal procedure take?
The actual extraction time varies significantly based on the number of teeth being removed and their complexity. For fully erupted teeth, it might be as quick as a couple of minutes per tooth. However, for impacted wisdom teeth, especially those requiring bone removal or sectioning, the procedure can take 10 to 20 minutes per tooth. If you’re having all four wisdom teeth removed, the entire process, including preparation and recovery from anesthesia, can range from 45 to 90 minutes. We’ll give you a more precise estimate during your consultation.
Is wisdom teeth removal painful?
Thanks to modern anesthesia and sedation techniques, you should not feel any pain during the wisdom teeth removal procedure itself. We use local anesthesia to numb the surgical area, and if you choose sedation, you’ll be deeply relaxed or even asleep. While you might feel some pressure or movement, pain is effectively managed. Post-operative discomfort is normal as the anesthesia wears off, but this can typically be controlled with prescribed or over-the-counter pain medication. We’ll ensure you have a clear plan for managing any post-procedure discomfort.
When is the best age to have wisdom teeth removed?
While wisdom teeth typically erupt between ages 17 and 25, the late teens or early 20s is often considered the ideal time for removal. This is because, at a younger age, the roots of the wisdom teeth are not yet fully formed, and the surrounding jawbone is less dense and more pliable. This combination generally leads to a simpler extraction procedure, faster healing, and fewer potential complications. As you get older, the roots become longer and thicker, and the jawbone becomes denser, making extraction more complex and increasing recovery time and risks.
Your Next Step to a Healthier Smile in Scottsdale
Navigating wisdom teeth Scottsdale removal doesn’t have to be a source of stress. By understanding the process, knowing what to expect, and choosing a compassionate and experienced dental team, you can approach this common procedure with confidence. The benefits of timely wisdom teeth removal are clear: pain relief, prevention of infection and decay, and protection for your other healthy teeth.
At AZ Dentist, we are committed to providing exceptional, comfortable patient experiences. We want you to “come as a patient, leave as a friend,” confident that you’ve received the highest quality care. Our team in Scottsdale is ready to serve you with advanced technology, personalized care, and flexible financing options.
Don’t let problematic wisdom teeth compromise your oral health or your peace of mind. We’re here to guide you every step of the way, ensuring a smooth journey to a healthier, happier smile.
Schedule your consultation at our Scottsdale dental clinic today to discuss your wisdom teeth options and take the first step towards optimal oral health.
