Understanding Oral Fibromas: What You Need to Know

How to get rid of oral fibroma requires professional treatment, as these benign growths don’t disappear on their own. Here’s what you need to know:
Primary Treatment Options:
- Surgical Excision – Traditional removal with a scalpel, requiring stitches
- Laser Removal – Modern approach using diode laser technology with less bleeding and faster healing
- Post-Treatment Care – Typically 1-2 weeks recovery with simple aftercare
When to Seek Treatment:
- The growth causes discomfort or difficulty eating
- You’re concerned about the appearance
- The fibroma is growing or changing
- You want confirmation it’s not something more serious
If you’ve noticed a small, firm bump inside your mouth that won’t go away, you’re not alone. Oral fibromas are one of the most common benign growths found in the mouth, affecting 1-2% of adults. These painless lumps develop as your body’s response to repeated irritation or trauma—like accidentally biting your cheek or rubbing against ill-fitting dentures.
While oral fibromas are harmless, they’re also permanent unless professionally removed. The good news? Modern dental techniques have made removal simpler, faster, and more comfortable than ever before. Research shows that laser removal results in significantly less bleeding, reduced pain, and quicker healing compared to traditional methods, with 100% of laser-treated patients reporting excellent satisfaction.
As Dr. Janne Lynch, DDS, with experience in both cosmetic and surgical dentistry, I’ve helped countless patients understand how to get rid of oral fibroma safely and effectively. My training in oral surgery, combined with staying current on the latest minimally invasive techniques, allows me to provide patients with the most comfortable treatment options available.

What is an Oral Fibroma and Why Does It Appear?
Imagine your mouth is a busy city, constantly in motion with talking, eating, and all sorts of activities. Most of the time, this activity is harmless, but sometimes, an unexpected bump can appear. This is often an oral fibroma, a common benign lesion of the oral mucosa that typically results from persistent inflammation or trauma. It’s essentially a scar-like reaction where the body produces extra fibrous connective tissue in response to repeated injury.
Often referred to as reactive hyperplasia or a traumatic fibroma, these growths are the mouth’s way of saying, “Hey, something’s bothering me here!” An Oral (irritated) fibroma is a noncancerous tumor or growth consisting of fibrous, connective tissue that can appear almost anywhere in the body, but in the mouth, it’s a localized response to irritation.

Defining Oral Fibromas and Their Symptoms
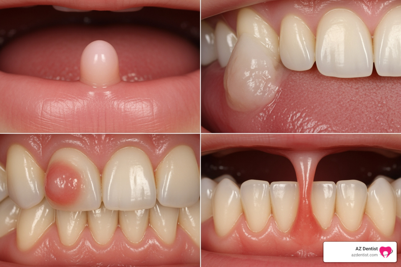
So, what exactly does an oral fibroma look like and feel like? From our experience, these little bumps are usually quite distinctive. They typically appear as a firm, smooth papule—a raised area—inside the mouth. You might notice it’s dome-shaped, and while it can be the same color as the surrounding oral tissue, it might also appear slightly paler. If it’s been recently irritated or bled, it could even look a dark red.
One of the most defining characteristics of an oral fibroma is its texture: it’s firm to the touch, unlike softer fatty lumps (lipomas). Most fibromas are relatively small, often ranging from 1 to 10 millimeters in diameter, though they can sometimes grow larger. Crucially, they are generally painless unless they are continually irritated by biting or friction from dental appliances.
Common signs and symptoms include:
- Unusual lumps: A noticeable bump or mass that wasn’t there before.
- Rough surfaces: The fibroma’s surface might become rough or scaly if it’s frequently rubbed or bitten.
- Painless lump: Typically, the growth itself doesn’t hurt, which is why many people don’t seek immediate attention.
- Location: Most commonly found on the inside of the cheeks, especially along the bite line, but also on the sides of the tongue, gums, or lips.
Common Causes and Risk Factors
At AZ Dentist, we often find that the primary culprit behind oral fibromas is consistent trauma or chronic irritation. Think of it like this: your oral tissues are delicate, and repeated insults can cause them to overreact by building up scar tissue.
Some of the most common causes and risk factors we see include:
- Cheek or Lip Biting: Many of us have a habit of accidentally—or unconsciously—biting the inside of our cheeks or lips. Over time, this repeated trauma can trigger fibroma formation.
- Ill-fitting Dentures or Dental Appliances: If your dentures, braces, or other dental appliances don’t fit perfectly, they can rub against your soft tissues, leading to chronic irritation.
- Rough Teeth or Restorations: A chipped tooth, a sharp edge on a filling, or a poorly contoured crown can constantly rub against the oral mucosa, acting as a persistent irritant.
- Periodontal Disease: While not a direct cause, poor oral health and inflamed gums can contribute to an environment where irritation is more likely to lead to such growths.
These fibromas are specifically referred to as “irritation or traumatic fibromas” because their development is almost always linked to these mechanical factors. Identifying and addressing the source of irritation is a key step in preventing their recurrence.
Different Types of Oral Growths
While the “irritation fibroma” is the most common type we encounter, the oral cavity can host several other kinds of benign fibrous growths. Understanding these distinctions is crucial for accurate diagnosis and treatment.
Here are a few types you might hear about:
- Irritation Fibroma (Traumatic Fibroma): This is the one we’ve been discussing—the most common type, directly resulting from chronic irritation or trauma. It’s a localized overgrowth of fibrous connective tissue.
- Giant Cell Fibroma: This type has a distinctive microscopic appearance, characterized by large stellate (star-shaped) cells. It commonly affects younger patients and is most often found on the gingiva (gums), tongue, and palate.
- Peripheral Ossifying Fibroma: This specific type develops exclusively on the gum tissue, often between teeth. It can contain calcified material (bone-like substance) and is believed to originate from cells of the periodontal ligament. These can sometimes appear bright red.
- Fibroma of the Gingiva: This presents as a firm, smooth nodule on the gum tissue and can sometimes be confused with other gingival growths.
It’s also important to differentiate fibromas from other oral lesions that might look similar but have different underlying causes or implications. For example, a Oral Pyogenic Granuloma is a vascular growth that often appears red and bleeds easily, while an Oral Papilloma is a wart-like growth caused by a virus. While these are all generally benign, their appearance can be deceptive, making professional diagnosis essential.
When to See a Dentist for a Mouth Lump
We understand that finding any new lump or bump in your mouth can be unsettling. Even though oral fibromas are benign and not usually a cause for serious alarm, we always recommend a professional evaluation. Why? Because while most such growths are harmless fibromas, some more serious conditions, including early stages of oral cancer, can present similarly.
Therefore, you should definitely schedule an appointment with us if you notice:
- Any new growth: If you’ve finded a lump or bump that wasn’t there before, it warrants a check-up.
- Changes in size or color: If the growth is rapidly getting larger, or if its color changes dramatically (e.g., becoming very dark or developing red/white patches), it’s important to have it examined.
- Discomfort while eating or speaking: Even if the fibroma itself isn’t painful, its location might interfere with your daily functions, making removal a good option for improved quality of life.
- Cosmetic concerns: If the fibroma is visible and affecting your confidence, we can certainly help.
- Uncertainty: The most important reason to see us is simply for peace of mind. Let our team confirm what it is and discuss your options.
Don’t play guessing games with your oral health. A quick visit to one of our AZ Dentist locations can provide clarity and a plan forward. Schedule Your Appointment Now—we’re here to help you get back to smiling confidently.
How to Get Rid of Oral Fibroma: Your Treatment Options
Once we’ve identified an oral fibroma, the good news is that getting rid of it is typically a straightforward process. Since these growths don’t resolve on their own, professional removal is the definitive treatment. This is usually an outpatient procedure performed right in our office, often with just a local anesthetic to ensure your comfort.

The First Step: Professional Diagnosis
Before we discuss removal options, the absolute first step is always a thorough professional diagnosis. When you visit us at AZ Dentist, we’ll conduct a comprehensive examination. This includes:
- Visual Examination: We’ll carefully inspect the growth, noting its size, shape, color, and location.
- Patient History: We’ll ask about when you first noticed it, any habits you have (like cheek biting), and if you’ve experienced any trauma to the area.
- Biopsy: While many oral fibromas are clinically identifiable, we often recommend a biopsy “to be on the safe side.” This involves taking a small tissue sample, usually during the removal procedure, and sending it for histopathological examination. This is the only way to definitively confirm the diagnosis and rule out any other, potentially more serious, conditions.
- Ruling Out Serious Conditions: The biopsy is crucial for ensuring that what we’re dealing with is indeed a benign fibroma and not something like leukoplakia or even an early stage of oral cancer. Our commitment to your overall Oral Health and Cancer screening means we take every precaution.
This diagnostic step is paramount, as it guides our treatment plan and ensures we’re providing you with the most appropriate and effective care.
A professional’s guide on how to get rid of oral fibroma
When it comes to the actual removal of an oral fibroma, we have excellent options available that prioritize your comfort and recovery. The primary goal is complete excision of the growth. We typically discuss two main approaches: traditional scalpel excision and modern laser dentistry.
Here’s a comparison to help you understand the differences:
| Feature | Scalpel Excision | Laser Removal (Diode Laser) |
|---|---|---|
| Procedure | Traditional surgical cut to remove the fibroma. | Uses a focused laser beam to precisely vaporize the tissue. |
| Bleeding | More intraoperative bleeding. | Significantly less intraoperative bleeding due to cauterization. |
| Stitches | Typically requires sutures (stitches) to close the wound. | Often no stitches needed, as the laser seals blood vessels and tissues. |
| Pain | Higher postoperative pain and swelling reported. | Reduced postoperative pain and swelling. |
| Recovery Time | May require 2-3 days of careful aftercare for sutures. | Accelerated wound healing; often resume routine same day or within a few days. |
| Patient Satisfaction | Approximately 41.6% reported excellent satisfaction in studies. | 100% of patients reported excellent satisfaction in studies. |
Scalpel Excision: This is the conventional method. After numbing the area with a local anesthetic, we use a scalpel to carefully cut out the fibroma. The incision is then closed with sutures. This is a very effective method, but as you can see from the table, it can involve more bleeding and a slightly longer recovery period due to the need for stitches.
Laser Dentistry: This is where modern technology truly shines in helping us how to get rid of oral fibroma. Using a diode laser, we can remove the fibroma with incredible precision. The laser essentially vaporizes the tissue while simultaneously cauterizing (sealing) the blood vessels. This means significantly less bleeding during the procedure and often eliminates the need for stitches entirely. Studies, like “Minimally invasive excision of oral fibromas: a clinical and histological comparison between diode laser and scalpel techniques”, have shown that the diode laser group experienced significantly less intraoperative bleeding, reduced postoperative pain and swelling, accelerated wound healing, and improved aesthetic results compared to the scalpel group. Furthermore, all patients in the laser group reported excellent satisfaction, a stark contrast to the 41.6% in the scalpel group. This minimally invasive approach makes for a much more comfortable experience and faster return to your normal activities. We’re proud to offer advanced laser treatments, including Laser Gingivectomy, at our AZ Dentist locations.
Other Minimally Invasive Techniques
While scalpel and laser excisions are the most common methods, depending on the specific characteristics of the fibroma and its location, other minimally invasive techniques might be considered. These typically involve similar principles of removal with reduced impact on surrounding tissues.
- Electrosurgery: This method uses high-frequency electrical currents to cut and cauterize tissue. It offers good hemostasis (control of bleeding) and precision, similar to laser, but some patients may experience more discomfort during healing compared to laser.
- Cryosurgery: This technique involves freezing the fibroma using liquid nitrogen to destroy the tissue. It’s often used for smaller lesions and can be beneficial for patients who may not be candidates for other surgical options. However, it might not always allow for a tissue biopsy, which is important for definitive diagnosis.
We will always discuss the best approach for your specific situation, considering the fibroma’s size, location, and your overall health, to ensure the most effective and comfortable removal.
The Road to Recovery: What to Expect After Removal
Once your oral fibroma has been successfully removed, your journey to a fibroma-free smile continues with a smooth healing process. We believe in setting clear expectations for recovery, so you know exactly what to do and what to look for.
Immediate Post-Procedure Care
Your comfort and proper healing are our top priorities. After the procedure, we’ll provide you with detailed instructions custom to your specific removal method. Here’s what you can generally expect:
- Pain Management: It’s normal to experience some mild pain or discomfort as the local anesthetic wears off. Over-the-counter pain relievers, such as ibuprofen or acetaminophen, are usually sufficient. We might also recommend applying an ice pack externally to the cheek area to help reduce any swelling.
- Dietary Adjustments: For the first 2-3 days, we advise sticking to soft foods. Think soups, yogurt, mashed potatoes, or scrambled eggs. It’s best to avoid overly spicy, acidic, or hard foods that could irritate the healing site.
- Oral Hygiene: Maintaining good oral hygiene is crucial, but you’ll need to be gentle around the surgical site. We’ll likely recommend rinsing your mouth with a mild saltwater solution (1/2 teaspoon of salt in 8 ounces of warm water) 4-5 times a day, especially after meals. This helps keep the area clean and promotes healing. Avoid vigorous rinsing or brushing directly on the wound for the first few days.
A little care goes a long way in ensuring a quick and comfortable recovery.
Healing Timeline and Preventing Complications
The healing process for an oral fibroma removal is typically quite fast. Most patients find that the area heals significantly within 1-2 weeks. After laser procedures, you can often resume your routine the same day or within a few days, while scalpel procedures with sutures might require a slightly more cautious 2-3 days before returning to full activity.
While complications are rare, be aware of the signs of infection so you can contact us immediately if they arise. Look out for:
- Fever: An liftd body temperature.
- Excessive Pain: Pain that is severe, worsening, or not managed by prescribed medication.
- Increased Swelling: Significant swelling around the surgical site that doesn’t subside.
- Discharge: Pus or foul-smelling discharge from the wound.
If you experience any of these symptoms, please don’t hesitate to call our AZ Dentist office right away.
One common question we get is about recurrence. While removal is typically curative, recurrence after surgery happens in approximately 8-12% of cases. This usually occurs if the source of chronic irritation isn’t eliminated. That’s why the next step—prevention—is so vital.
Preventing Future Fibromas
Congratulations! You’ve taken the proactive step to how to get rid of oral fibroma. Now, let’s talk about how to keep them from coming back. Preventing recurrence is all about identifying and eliminating the triggers that caused the fibroma in the first place. It’s a key part of your long-term oral health strategy.
How to get rid of oral fibroma triggers for good
The good news is that most oral fibromas are preventable by simply changing habits or addressing mechanical irritants. Here’s our guide to keeping your mouth fibroma-free:
- Identifying the Source of Irritation: This is the most critical step. Think about where the fibroma was located and what might have been constantly rubbing or biting that area. Was it your cheek, your tongue, or a spot where dentures sit?
- Adjusting Dental Appliances: If you wear dentures, braces, or other orthodontic devices, ensure they fit perfectly. Ill-fitting appliances are a prime source of chronic irritation. We can help you adjust them for optimal comfort and fit.
- Mouthguards for Cheek Biting: If you unconsciously bite your cheek or grind your teeth, especially at night, a custom-fitted mouthguard from AZ Dentist can protect your oral tissues from trauma.
- Stress Reduction: Sometimes, habits like cheek biting are stress-related. Finding healthy ways to manage stress can indirectly help prevent these irritations.
- Maintaining Good Oral Hygiene: While not a direct cause, a healthy mouth is a resilient mouth. Regular brushing, flossing, and professional cleanings keep your oral tissues in top condition, making them less susceptible to irritation and inflammation. Consider a Deep Cleaning if recommended by our team.
By being mindful of these triggers and taking proactive steps, you can significantly reduce your risk of developing new fibromas.
The Role of Regular Dental Check-ups
Regular dental check-ups are your best friend in maintaining excellent oral health and preventing issues like oral fibromas. At AZ Dentist, we’re not just here for emergencies; we’re your partners in proactive care.
During your routine visits, our experienced team will:
- Proactive Monitoring: We’ll examine your entire oral cavity, including soft tissues, to spot any unusual growths or changes early on—even before you might notice them.
- Early Detection: Catching potential irritants or small fibromas early means we can address them before they become larger or cause discomfort.
- Professional Cleanings: Our hygienists provide thorough cleanings that remove plaque and tartar, contributing to overall gum health and reducing inflammation.
- Personalized Advice: We can offer custom advice on oral hygiene techniques, dietary habits, and ways to protect your mouth from irritation.
Think of us as your oral health navigators, guiding you towards a perpetually healthy and happy smile. With multiple convenient locations across Arizona, including Glendale, Scottsdale, Sedona, and Sun City, finding us is easy. Find Your AZ Dentist Location today and let us help you keep your mouth healthy and fibroma-free!
Frequently Asked Questions about Oral Fibromas
We know you might have more questions about oral fibromas, especially after learning how to effectively how to get rid of oral fibroma. Here are some common inquiries we receive at AZ Dentist:
Can oral fibromas go away on their own?
Unfortunately, no. Oral fibromas rarely resolve on their own without intervention, especially once they are fully formed. The tissue within the fibroma is fibrous and tends to harden over time. While removing the source of irritation might prevent it from growing larger, the existing fibroma will remain. For complete resolution and to alleviate any discomfort or cosmetic concerns, professional removal is typically necessary. Think of it as a permanent scar that needs a little help to disappear.
Are oral fibromas dangerous or cancerous?
This is perhaps the most common and reassuring question we answer: oral fibromas are benign growths. They rarely pose serious health risks and are not cancerous. In fact, malignant change of oral fibromas is extremely rare, with studies reporting it at less than 1%. However, it’s crucial to understand why professional examination is so important. Some dangerous lesions, including early stages of oral cancer, can initially resemble benign fibromas. That’s why we always recommend a thorough diagnosis, often including a biopsy, to definitively confirm its nature and provide you with complete peace of mind.
Is it safe to remove an oral fibroma at home?
Absolutely not! We strongly discourage any attempts to self-remove an oral fibroma at home. Trying to remove these growths yourself carries significant risks, including:
- Infection: Your mouth contains numerous bacteria, and an open wound created at home is highly susceptible to infection, which can lead to more serious health issues.
- Excessive Bleeding: Oral tissues are rich in blood vessels. Attempting to cut or scrape off a fibroma at home can result in uncontrolled bleeding.
- Incomplete Removal: It’s very difficult to completely remove the fibroma without proper surgical tools and training, leading to potential recurrence or an uneven, irritated area.
- Scarring: Improper removal can lead to unsightly scarring and further discomfort.
Professional surgical excision by a qualified dentist or oral surgeon is the only recommended approach for safe, complete, and effective removal. Our team at AZ Dentist has the expertise and sterile environment to ensure your safety and optimal results.
Conclusion: Your Next Steps to a Fibroma-Free Smile
We’ve covered a lot about oral fibromas, from what they are and why they appear, to the various treatment options and how to prevent their recurrence. The key takeaway is this: oral fibromas are common, benign growths that, while usually harmless, won’t disappear on their own.
Understanding how to get rid of oral fibroma safely and effectively begins with a professional diagnosis to confirm the nature of the growth. Modern treatments, particularly laser removal, offer minimally invasive solutions with reduced discomfort and faster healing times, leading to excellent patient satisfaction. And, by addressing the underlying causes of irritation and maintaining diligent oral hygiene, you can significantly reduce the chances of these pesky bumps returning.
If you’ve noticed a lump or bump in your mouth that concerns you, please don’t hesitate. The team at AZ Dentist is ready to provide a professional evaluation and a personalized treatment plan custom to your needs. We’re committed to delivering comprehensive, compassionate, and affordable dental care, ensuring you leave with the “smile of a lifetime.”
For a professional evaluation and to discuss your options for a fibroma-free smile, Learn more about Oral Fibroma treatment and schedule your appointment with us today! We look forward to helping you.
